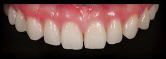
陳奕潔 Stephanie牙齒陶瓷貼片前後對比
陳奕潔 Stephanie IG分享
🦷
不知道有沒有人發現
最近我比較常露齒笑了呢⸜(♡’ᗜ‘♡)⸝
憋了好久的秘密終於要來跟你們分享哩
今年生日送給自己的禮物🎁
就是我去做了陶瓷貼片啦!!!
雖然說以前有帶過牙套所以牙齒蠻整齊的
但因為牙齒實在太太小顆了🤏🏻
每次想要露出牙齒笑都看起來很吃力
而且笑起來也不好看(臉都皺在一起了
所以之前都很少看到我拍露齒笑的照片(˘•̥⧿•̥˘ )
做好功課後決定到從心牙醫 @lesourire.dental 諮詢🤣
畢竟從心是以美學為出發的診所
能夠根據臉形設計適合的療程.˚⊹ ⁺‧( *´꒳`*)‧⁺ ⊹˚.
而且環境非常舒服有香香的獨立諮詢空間
與伍醫師 @dr_hsin 溝通想要的齒形顏色🦷
以及其他想要改善的需求 通通放心交給伍醫師🙂↕️客人,有自己的隱私,舒服又安心!✨
後來就立馬預約後續療程時間決定施作了✌🏻
第一步先取口內資料 製作出3D的模型
經過技師的精算以及醫生的設計中間不斷的討論
(我是超級龜毛怪中間修修改改了好多次🫣)
畢竟牙齒會跟著你好久好久
一定要做出自己最喜歡的樣子❤️
非常感謝醫師及技師們的耐心(⊃´³`⊂)!!
討論完之後會先磨牙裝上臨時假牙
之後還可以再讓你習慣一陣子
看還有沒有什麼地方需要再調整的
等到確定沒問題就會裝上正式的陶瓷貼片🦷
至於過程會不會痛😈我覺得因人而異
我自己覺得打麻藥的時候是最痛的(誠實小潔🙋🏻♀️
還有因為我牙齒很小🤏🏻
露齒笑會露出來的牙齒比較多顆
還有加上我很龜毛🧏🏻♀️不希望上下排有色差
所以上下排一次做了20顆!!
躺在診療椅上一整天不能動 真的好煎熬🤣
但畢竟變漂亮總是要付出代價的嘛🙂↕️
看到做完之後的樣子真的覺得非常值得!
身邊的朋友看了也一直吵著說也想去做
而且現在也變得越來越愛笑 更加有自信了呢
雖然我現在還在練習要怎麼露齒笑就是了(⸝⸝ɞ̴̶̷ ·̫ ‹⸝⸝ᐡ)~☆
之後還要再麻煩你們幫我驗收嚕!!!
感謝從心牙醫診所及伍醫師賜給我漂漂牙齒🦷

🌼
笑到麻啾都不見了(✿´༥`✿)
正在練習露齒笑漂漂
先來個小小驗收🧏🏻♀️💖
做完貼片到現在差不多四個多月
已經非常習慣哩.˚⊹ ⁺‧( *´꒳`*)‧⁺ ⊹˚.
忍不住都會一直照鏡子偷看一下🤤
咬東西稍微注意一下(要用後面的牙齒!
認真刷刷+睡覺記得帶維持器(我超會磨牙
基本上也沒有什麼特別需要照顧的💖
還是只剩下學會露齒笑漂亮了嘻嘻
謝謝 @dr_hsin@lesourire.dental
賜給我的漂漂牙齒🦷✨
#從心牙醫診所
#美學專科
#伍從心醫師
不知不覺已經到年末了,
回顧今年,覺得自己做得最棒的決定,
就是到 @lesourire.dental 做了陶瓷貼片✨
到現在已經九個月了,真的好喜歡現在的牙齒,
照鏡子或拍照都會忍不住多看幾眼,
覺得實在太滿意了– ̗̀ ♡ ̖́-
當初和伍醫生 @dr_hsin 溝通的過程醫師真的很用心,
從臉型、嘴唇比例到笑容整體效果,
設計出專屬於我的微笑曲線和牙齒形態。
搭配數位模擬,可以提前看到修磨後的效果,
每顆牙齒的大小比例都經過仔細調整,
修磨厚度甚至只有一兩根頭髮那麼細!
連佩戴臨時假牙的期間都很自然,
完全不影響平常拍攝工作.˚⊹ ⁺‧( *´꒳`*)‧⁺ ⊹˚.
剛開始第一個月有些微不適應,
但後續保養只要乖乖刷牙、正常飲食,
記得乖乖帶維持器就可以哩(⸝⸝ɞ̴̶̷ ·̫ ‹⸝⸝ᐡ)~☆
也沒有牙齒敏感的問題!一切都跟平常一樣✌🏻
不一樣的就是在拍攝時更加自在及自信了!
不僅是外在上的改變,也增添了不少自信💗


從心牙醫診所|陶瓷貼片療程完整流程



Step 1|初診評估與諮詢
醫師會檢查您的口腔狀況,了解您的需求,並討論適合的治療計畫。
Step 2|數位微笑設計(DSD)

使用3D口掃儀收集精確的口腔數據,並透過軟體模擬出客製化的微笑曲線,讓您能預覽最終效果。
Step 3|牙齒微調修磨
醫師會在牙齒表面進行小範圍修磨 (約0.3∼0.5 mm),為貼片預留足夠空間並達到完美貼合。
Step 4|手工貼片製作
牙技師會根據設計圖和修磨後的牙齒模型,製作客製化的陶瓷貼片。
Step 5|試戴與確認
將製作好的貼片試戴在牙齒上,確認顏色、形狀、長度和咬合都符合您的期望,並進行必要的微調。
Step 6|正式黏著與微調
醫師會使用專用黏合劑將陶瓷貼片永久固定在牙齒上,並進行最後的調整與修整。

- Ariel 雨凡 – 陶瓷貼片|水雷射心得分享 - 2025 年 10 月 25 日
- 凹凹葳 – 陶瓷貼片心得分享 - 2025 年 10 月 21 日
- 陳奕潔 Stephanie – 陶瓷貼片心得分享 - 2025 年 10 月 17 日







