Ariel 雨凡 牙齒陶瓷貼片前後對比
Ariel 雨凡 IG分享
從小我就因為牙齒不夠好看微笑時其實不太有自信,每次與朋友合照時會刻意避免大笑或露出牙齒。
長大後逐漸也影響到了我的生活工作,
如果要繼續模特的工作讓我必須要面對這種情況,
於是大學時和朋友一起去嘗試當時很流行的樹脂貼片!
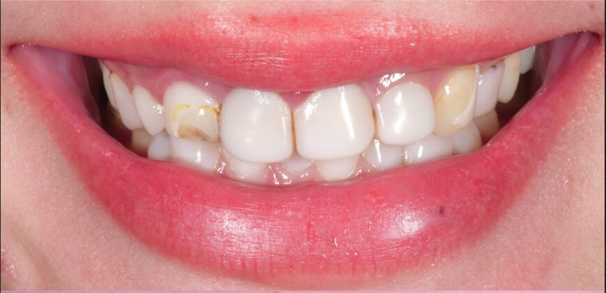
樹脂貼片價格的確很實惠,確實當下做完成果也算滿意,然而過不到幾年我就後悔了~
貼片材質的品質影響了美觀持久度,樹脂貼片過一段時間後跟原本做完的差異性極大,
貼片也開始從牙齒邊緣出現磨損痕跡,而到後期還很容易因咬到要硬的食物而脆裂甚至掉落,最重要一點是牙齒形態經不起美感的考驗,最後由於需要新的拍攝,最終我決定要徹底解決這種不安的感覺!!🥲
今年,終於做出了重要的決定要將樹脂貼片換成陶瓷貼片!!!
經過長時間研究,找到了專門以「美學角度」出發的從心牙醫 @lesourire.dental
並且諮詢伍從心院長 @dr_hsin
最初在砍掉重練的這個過程其實蠻緊張,但從諮詢到療程結束,從心團隊不僅會安撫我不安的情緒,溝通過程中也都讓我備受呵護,細心為我設計出符合自身臉型、微笑線的陶瓷貼片,若說量身定做一點也不為過,最終的結果實在讓我驚艷到不行😭😭😭
貼片不僅讓我的牙齒看起來更加美觀,還讓我重拾久違自信。第一天戴上新牙齒時,我忍不住對著鏡子笑著。那種自在的感覺仿佛重獲新生。
現在,我再也不需要隱藏自己的笑容,反而勇敢地面對生活中的每一刻。
這次改變帶來不僅是外表的改善,更是內心自信的重建,工作上也讓我更加自然表露每一刻!在居家護理方面,牙齦也不再像之前那樣容易敏感刷牙也不再有流血顧慮!
最後,我想對那些和我有相似困擾的人說:如果你也因為牙齒而感到自卑,不妨考慮進行一些改善。擁有一口自信的笑容,將會改變你的生活,也讓你迎接更多的可能性。
現在從心正在舉辦年終活動,把握機會給自己一個美麗的改變吧~


當我兩個月前決定做牙齒貼片時,其實有點緊張,不過現在回頭看,真心覺得超值得!
我的笑容變得更好看,也讓我對自己更加有自信!
做完陶瓷貼片不僅讓我變得更好看,還修補了那些小瑕疵,讓牙齒在鏡頭下放大檢視仍然整整齊齊,其實我還搭配做了「水雷射牙齦修整」,先讓左右兩邊牙齦對稱,後面牙齒貼片就會大小型態一起對稱,看起來整整齊齊。
最棒的是,陶瓷貼片護理真的簡單,只要照樣刷牙、配合牙線一起清潔就可以了!
如果吃比較硬的食物,就切小塊,用原本功能就是咀嚼的後牙吃,稍微改變一下飲食習慣,幾乎沒什麼困難😏
而且,施作的醫師很重要,療程中移除我之前蛀牙以及樹酯貼片殘留下來的部分,讓後續陶瓷貼片緊密的服貼我的牙齒,也避免牙齒進一步的損壞,這點我真的很感謝伍醫師 @dr_hsin 🥰
如果你也想要一個亮晶晶的笑容,實在很推薦陶瓷貼片!
朋友都說我現在的牙齒真的又美又自然~
這樣的改變讓我每天都愛上自己的笑容,讓我非!常!開心!
目前開開心心的使用了兩個月,我對陶瓷貼片的愛更加深厚了,感謝自己送給自己今年最棒的禮物,更感謝從心牙醫 @lesourire.dental 讓我的牙齒重生💝
Outfit @chennchenn
Earrings @apmmonaco@apmgirls
#getreadywithariel
從心牙醫診所|陶瓷貼片療程完整流程



Step 1|初診評估與諮詢
醫師會檢查您的口腔狀況,了解您的需求,並討論適合的治療計畫。
Step 2|數位微笑設計(DSD)

使用3D口掃儀收集精確的口腔數據,並透過軟體模擬出客製化的微笑曲線,讓您能預覽最終效果。
Step 3|牙齒微調修磨
醫師會在牙齒表面進行小範圍修磨 (約0.3∼0.5 mm),為貼片預留足夠空間並達到完美貼合。
Step 4|手工貼片製作
牙技師會根據設計圖和修磨後的牙齒模型,製作客製化的陶瓷貼片。
Step 5|試戴與確認
將製作好的貼片試戴在牙齒上,確認顏色、形狀、長度和咬合都符合您的期望,並進行必要的微調。
Step 6|正式黏著與微調
醫師會使用專用黏合劑將陶瓷貼片永久固定在牙齒上,並進行最後的調整與修整。

- Ariel 雨凡 – 陶瓷貼片|水雷射心得分享 - 2025 年 10 月 25 日
- 凹凹葳 – 陶瓷貼片心得分享 - 2025 年 10 月 21 日
- 陳奕潔 Stephanie – 陶瓷貼片心得分享 - 2025 年 10 月 17 日







